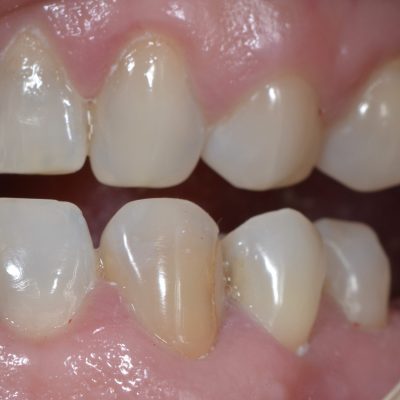
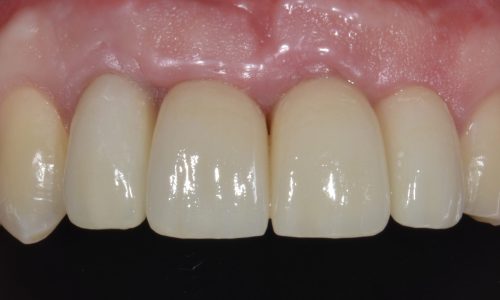
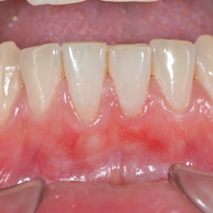
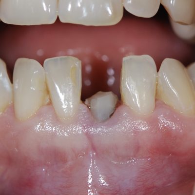
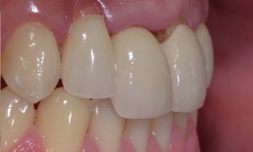
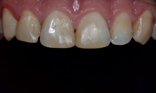
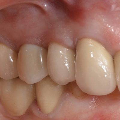
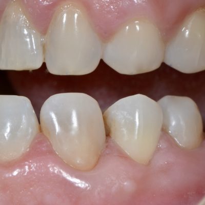
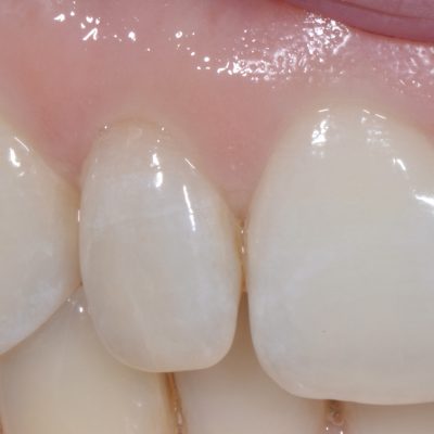
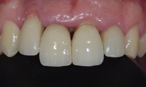
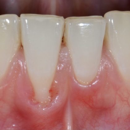
BlanqueamieNTo Caso 1: AntesCaso 1: DespuésCaso 2: AntesCaso 2: Después Implantología Caso 1: Antes (Fractura vertical de diente 3.1)Fresado para implante de titanio Implante instaladoInjerto óseo (sticky bone)Sutura Caso 1: Después (Instalación corona definitiva)Caso 2: AntesCaso 2: Después PERIODONCIA Caso 1: DespuésCaso 1: Antes Rehabilitación oral Caso 1: AntesEstudio fotográfico previoCreación de coronas de porcelana definitivasInstalación de coronas definitivasCaso 1: DespuésCaso 2: AntesCaso 2: Después Ortodoncia Antes Después Laboratorio Dirección Av. Kennedy 7600 oficina 502, Vitacura, Santiago Correo secretaria@clinicasirhan.com clinicars2023@gmail.com Teléfono +56 2 212 2659 Whastapp +56 9 5759 4222 Instagram @rs_clinicadental Horario Lunes a Jueves 8:30 - 19:00 hrs Viernes 8:30 - 18:00 hrs Clínica RS ©